文 | 脑声常谈
精神障碍(焦虑/抑郁)是全球主要致残原因,炎症(包括外周炎症)是重要诱因,慢性牙周炎(PD)作为慢性不可逆炎症,被认为是精神障碍的潜在危险因素,但具体机制不明。
![]()
重庆医科大学附属口腔医院宋锦璘、徐凌、李玲婕在《Advances Science》发表题为:“CRP Deficiency Rescues Periodontitis-Induced Hippocampal Neurogenesis Impairment by Suppressing OPC-Derived BMP4 Signaling in Rats”的研究工作。
核心:本研究聚焦慢性牙周炎(PD)引发中枢神经系统损伤的分子机制,以SD大鼠为模型,通过多组学、分子生物学和行为学实验,揭示了CRP-BMP4 轴在PD诱导的海马神经发生受损和焦虑/抑郁样行为中的核心调控作用,为PD相关神经并发症的治疗提供了新靶点。
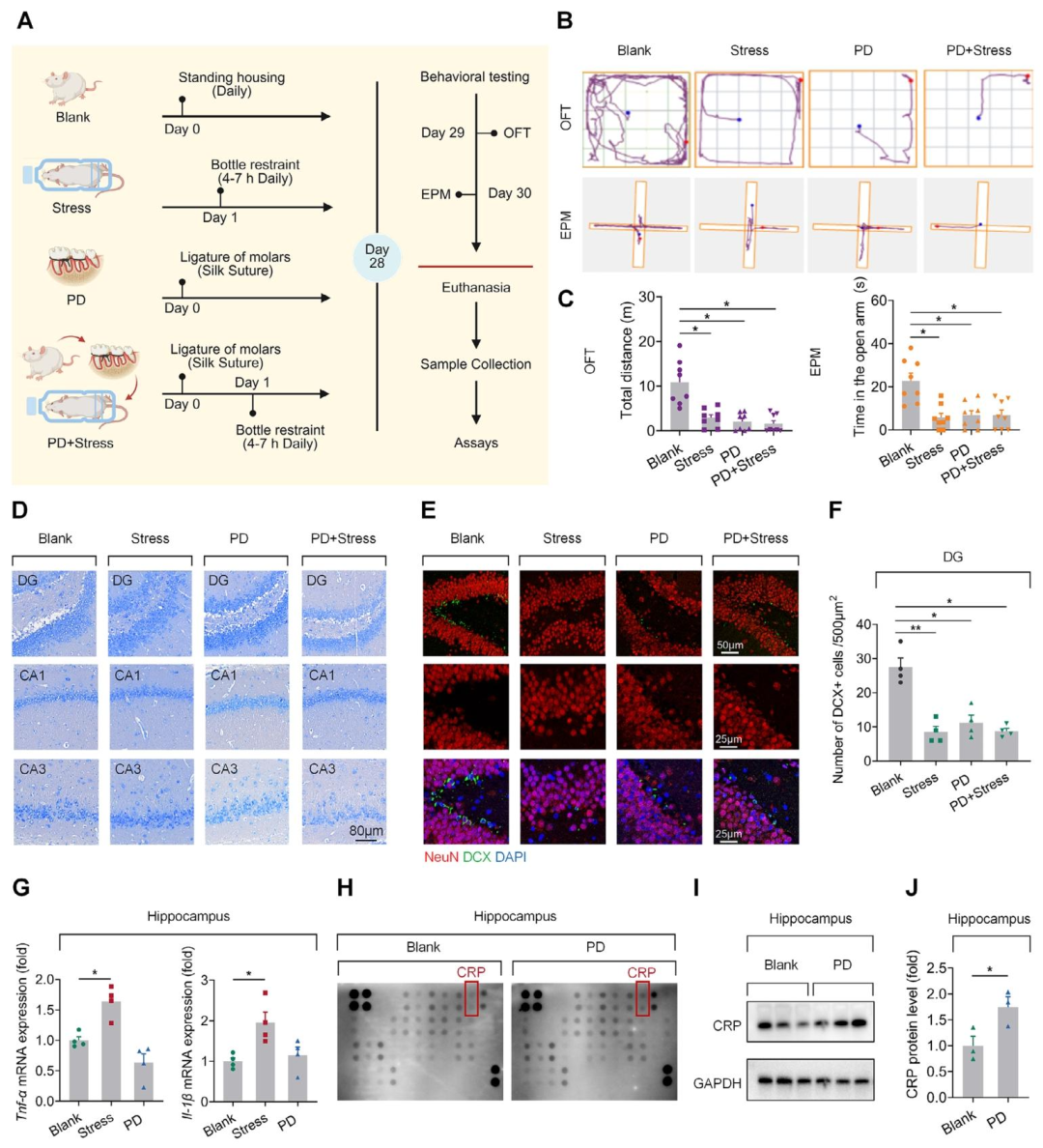
PD诱导大鼠焦虑/抑郁样行为、海马神经发生受损且CRP升高
作者首先检测评估了动物行为变化,PD大鼠在旷场实验(OFT)中行走距离缩短、高架十字迷宫实验(EPM)中开放臂停留时间减少,表现出与应激大鼠相似的焦虑/抑郁样行为,但PD未加重应激大鼠的行为异常。
神经发生:PD导致大鼠海马 DG、CA1、CA3区神经元排列紊乱,DCX +未成熟神经元数量减少约50%,但未加重应激诱导的神经元损伤。
炎症因子:PD 未显著上调海马区Tnf−α、Il−1β mRNA 表达(与应激模型不同),但炎症抗体芯片和Western blot 证实海马 CRP 蛋白水平显著升高。
![]()
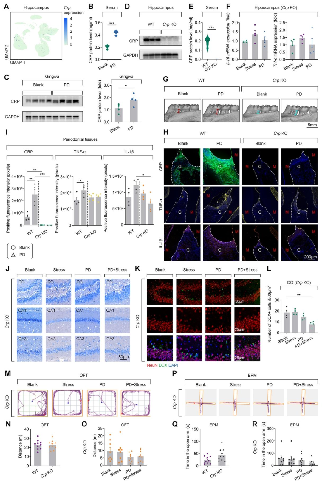
Crp KO缓解PD诱导的损伤
snRNA-seq显示海马细胞并非 CRP 主要产生者,ELISA 证实PD大鼠外周血和牙龈 CRP 水平显著升高,且 PD 未改变海马血脑屏障(BBB)相关标志物 ZO-1、CAV-1 的表达,提示海马 CRP 升高非BBB结构改变介导。
Crp KO的保护作用:
Crp KO 抑制PD诱导的牙周炎症,且未检测到海马Tnf−α、Il−1β的异常上调;Crp KO 大鼠在 PD/应激下,海马神经元排列正常,DCX +未成熟神经元数量无显著减少,仅PD +应激下保护作用减弱;Crp KO大鼠在PD/应激下,OFT 和 EPM 检测无显著焦虑/抑郁样行为。
![]()
慢性牙周炎大鼠模型中CRP-BMP4信号轴参与海马损伤及行为异常
研究揭示了PD诱导海马损伤和焦虑/抑郁样行为的新通路:外周CRP进入海马→调控 OPCs(主要是OPCs_4)表达BMP4→抑制NPC的神经元分化(下调 NeuroD1)→海马神经发生受损→焦虑/抑郁样行为。研究证实CRP-BMP4 轴是 PD 相关神经并发症的潜在治疗靶点,抑制该轴可恢复PD诱导的神经元分化损伤、改善行为异常。CRP 缺失可增强OPCs的功能适应性,即使 OPCs 数量减少,仍能维持髓鞘稳态和神经元分化
![]()
研究意义
这项研究揭示了外周炎症(牙周炎)诱发中枢认知受损的全新分子机制,确立了CRP在介导“口-脑轴”通讯中的核心地位。首次证实了 CRP 缺失能显著逆转牙周炎引起的海马神经发生障碍并解析了其背后的细胞级联反应。这一发现不仅打破了 CRP 仅作为炎症标记物的传统认知,将其定义为干预认知退化的功能性靶点,也为临床上通过控制牙周健康或靶向 CRP/BMP4 通路来防治阿尔茨海默病等相关神经退行性疾病提供了有力的实验依据。







快报
根据《网络安全法》实名制要求,请绑定手机号后发表评论