![]()
图片来源@视觉中国
钛媒体注:本文来源于微信公众号浪潮工作室(ID:WelleStudio163),作者|鸣玉,钛媒体经授权发布。
很多潮汕人说,生腌是那种只有吃零次和无数次的“慢性毒药”。
炎炎夏日,有什么比冰镇后的生腌更令人快乐的呢?沙虾清甜肥厚,血蛤肉质脆嫩,青膏蟹细嫩鲜美、入口时还带着一点冰沙感……即使对刺身无感的食客,也很难不为生腌心动。
然而,生腌再美味,也不得不直面一个很大的问题——寄生虫。
美食作家蔡澜就曾遇到过:“香港的回转寿司店买到了(鲣鱼)就那么切来当刺身......一开来,腹壁中长满一粒粒的黄色小肿瘤,里面包的全是幼虫。”
无论是潮汕本土的生腌、鱼生,还是进口的冰鲜刺身,这些生食水产都有一个相似之处:你也许永远不知道面前的这一盘里是不是藏着一个“虫窟”。
一口新鲜生鱼片,吃到几条寄生虫
“现宰现杀生鱼片,绝对新鲜,绝对放心。”
如果你见到打着这样宣传口号的餐馆,千万别进!没有经过任何处理的新鲜生鱼片,很可能是寄生虫的“家园”。
鱼类感染的寄生虫种类非常多,但是,只有少数寄生虫会致人生病。
“华支睾吸虫”,又叫“肝吸虫”,是中国淡水鱼中最常见的一种致病寄生虫。当食用了被肝吸虫感染的生鱼片后,其虫体便主要寄生在人体的胆管、胆囊内,引起胆道一系列病变,比如胆管炎、胆囊炎、胆结石等[1]。
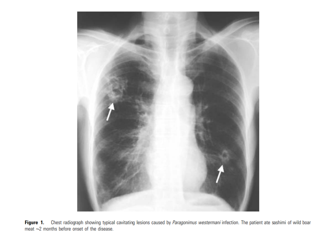
![]()
一位吃了生鱼片后,感染肺吸虫的病患。放射图中箭头所指的即肺吸虫造成的病灶
华支睾吸虫的成虫可寄生在胆管中长达 20-25年[2]。当虫体过多时,死亡的虫体、 虫卵及黏蛋白长期阻塞胆管,还会引起胆汁性肝硬化、细菌感染等[1][2]。
已经有研究证明,华支睾吸虫感染者发生胆管癌的风险是非感染者的4.5~6.1倍[3]。
所以,你生吃的新鲜水产,也可能是大名鼎鼎的胆管癌Ⅰ类致癌物[4]。
这种寄生虫在淡水鱼中分布的广泛性,可能超乎你的想象。中日韩的139种淡水鱼都有它的存在。即使是常见的家养鱼种,比如鲤鱼、鲢鱼、清鲩(草鱼)、鲫鱼等,也不能避免[1]。
2010年,广东各地35个鱼塘的抽检结果显示,所有抽检的鱼塘,将近七成都感染了华支睾吸虫。顺德人最爱用来制作鱼生的鲩鱼(也即草鱼),华支睾吸虫的检出率是47.31%[5]。
![]()
晶莹白嫩、配料丰富的顺德鱼生。该地鱼生多使用草鱼 / 图虫创意
按照这个检出率,每吃两条未经任何处理的草鱼生鱼片,你就可能跟肝吸虫打个照面。
而有吃生鱼片饮食习惯的省市,华支睾吸虫的感染率都非常高。
2015年,全国35省人体重点寄生虫病感染现状调查,两广地区的感染率明显高于其他省份。广西华支睾吸虫感染率为6.68%,广东为1.91%[6]。
这是什么概念呢?
如果按照当时两省常住人口数量粗略估计,两广华支睾吸虫感染规模约为527.6万人[6-8]。
有人会说,“淡水鱼寄生虫多,不适合生吃。相比之下,海鱼比淡水鱼更安全。海鱼寄生虫更少,而且因为渗透压和海水的高盐环境,寄生虫不能在人体存活。”
这话只说对了一半。
![]()
有些生腌完美结合了“生食+淡水水产”两大危险因素,可以说是“最美丽的最危险”了 / 图虫创意
海鱼确实比淡水鱼安全一些,海鱼的寄生虫种类(划重点,种类)整体上确实比淡水鱼少。但淡水鱼和海水鱼寄生虫的感染率是差不多的[9]。
一些海鱼的寄生虫,同样是致病的。
就拿海鲜刺身最常见的一种寄生虫——异尖线虫来说,人体确实不能提供最适宜的生存环境。
吃到肚子里的异尖线虫多是幼虫,它们并不会长大,但也不会死亡。它们在你的体内吃喝拉撒,有时还会成群结队地旅行,医学上称其为“内脏幼虫移行症”。它们死亡后,尸体埋进胃壁形成芽肿,有时还会引起严重的过敏反应[10]。
吃到这种寄生虫,严重者会引起剧烈腹痛和呕吐。游弋到胃肠道里的异尖线虫没有特效药,一旦感染,只能胃镜钳出[11]。
![]()
做胃镜已经够酸爽了,何况还需要医生伸进去夹出寄生虫 / 图虫创意
光是想想,胃已经在痛了。
而这种寄生虫,在海鱼中分布同样非常广泛。
一项专门针对浙江省舟山渔场鱼类异尖线虫感染情况的调查显示,29种444尾海鱼,218尾都被检出了异尖线虫的幼虫。海鱼的总感染率为49.1%[12]。
其中一条38cm长的鲐鱼,携带了114条异尖线虫幼虫[12]。
所以,食用新鲜宰杀、没有经过任何处理的生鱼片或者腌制的生海鲜,你很可能有机会品尝到同样新鲜、原汁原味的寄生虫,是不是很刺激?
怎么吃生鱼,才能把风险降到最低
那么问题来了,在生鱼的食用安全这件事上,还有解吗?
以日本为例。酷爱刺身和寿司的日本,过去也曾备受寄生虫病困扰。但也因此,日本在生鱼片食用上积累了大量经验。这些年,日本寄生虫感染规模已经没有那么严重。
![]()
网上流传的“蘸醋、蘸芥末可以杀灭寄生虫”说法都不靠谱,选择生食就会存在一些风险 / 图虫创意
2020年,根据厚生劳动省公布的最新数据,日本因寄生虫导致的食源性疾病有386件,患者484人。其中,生食海鲜最常遇到的异尖线虫的致病人数只有396人[13]。
鲜鱼捕捞和宰杀后,经过一定处理,是可以规避掉很多寄生虫风险的。
首先,刺身鱼的不同产地、不同品种,携带的寄生虫种类、数量也不尽相同。淡水鱼和一些高感染率的海鱼品种基本可以排除在外。
比如,正宗日料店较为常见的“三文鱼刺身”大多是挪威进口的人工养殖的大西洋鲑鱼。
这种大西洋鲑的养殖条件极为严格。先在陆地上的养殖车间内完成亲本产卵和鱼苗培育,再通过活鱼船转运到海上,利用深水网箱进行养殖。每一批鱼卵都有完整的生产档案记录,养殖取水经过消毒杀菌后流入养殖池,投喂的是经过经过加热处理没有寄生虫的饲料[14]。
![]()
三文鱼养殖场 / 图虫创意
这样严格选育出的挪威大西洋鲑,直接生食感染寄生虫风险是非常低的。
一项涉及挪威37个鲑鱼养殖渔场的大规模采样发现,在3525条养殖的大西洋鲑中,均没有发现任何寄生虫。仅在3条发育不成熟的大西洋鲑的胃里发现了2条异尖线虫和几条不会对人体造成危害的寄生虫成虫[15]。
鱼种、产地、养殖方式靠谱,吃到寄生虫的概率会低很多。
不过这还不够。降低吃生鱼片感染寄生虫的风险,FDA提供了1个必须途径——满足一定条件的冷冻。
方案一:在-20℃及以下环境温度中冷冻和储存7天;
方案二:在-35℃及以下环境温度中冷冻和储存15小时;
方案三:在-35°℃及以下的环境温度中冷冻,并在-20°C及以下的环境温度中储存24小时;
以上3个方案可能不适合冷冻特别大的鱼(例如,厚度大于6英寸)
![]()
经冷冻处理的三文鱼肉 / 图虫创意
关于冷冻的杀虫效果,在FDA的食品安全法规里称其“足以杀灭寄生虫( sufficient to kill parasites)”[16]。
中国的生鱼片,也是有标准可依的。
在2015年发布的《食品安全国家标准 动物性水产制品》文件里,有明确规定“即食生食动物性水产品”,需要达到“不得检出吸虫囊蚴、线虫幼虫和绦虫裂头蚴等寄生虫”[17]。
一般来说,正规生产企业都会执行这个标准,产品先上市再接受抽检。不光如此,致病菌、重金属都在检测范围内,餐饮流通的各个环节也面临监督抽查和风险监测,从而尽可能地降低食品安全风险。
正规渠道购买的、经检测的海鲜,大部分是安全的。
![]()
日料店厨师正在制作生鱼片 / 图虫创意
当然,“正规渠道”最起码是得有固定摊位和营业执照的,流动小摊贩是抽检的漏网之鱼。
通过养殖、品种、冷链运输、仓储环境、抽检等一系列的严格控制,99分安全的生鱼片确实是存在的。
至于剩下的1分,这就要看经验和运气了。
要想100%安全,劝你还是别吃
对于消费者来说,谁都不能保证1%的“中奖”概率不会落到自己头上。生鱼片的整个制作过程是一个黑箱,不可控因素实在太多了。
比如杀死寄生虫最为关键的一步——冷冻。一旦达不到温度条件和要求的时长,感染寄生虫的风险就不会低。
2019年,一篇发表在《寄生虫学研究》期刊上的论文就发现,未按FDA和欧盟要求进行冷冻,试验中鲱鱼体内的异尖线虫的幼虫没有完全死亡。冷冻24小时后,取出样品在显微镜下观察,还能看到幼虫在活动[18]。
用来吃刺身的鱼是不能直接这样售卖的。一是应该立刻解剖、去除内脏。否则寄生虫会从其胃袋、肠子、肝脏、体腔和生殖腺游弋到全身各处,二是应该达到FDA规定的储存温度 / 图虫创意
生腌店、日料店、鱼生店里,店家有没有严格执行冷冻标准,消费者无从得之。在电商平台上,有很多商家宰杀后就立刻装箱配送,配送温度-4℃,建议储存温度为-18℃。
除了冷冻,餐饮店供应的鱼种也可能存在问题。
以虹鳟为原料的“三文鱼刺身”曾一度风靡中国的餐饮店铺。但这种“三文鱼刺身”寄生虫感染风险非常高。
虹鳟和大西洋鲑,商品名都叫“三文鱼”,但实际上根本不是一个东西。前者是淡水鱼,接触到的寄生虫种类多,但养殖方式和除虫处理却未必能达到“生食三文鱼”的标准。只是因为肉质色泽和纹理跟大西洋鲑长得很像,有些卖家就宣称自己卖的是“淡水三文鱼”,价格还不便宜。
![]()
虹鳟是淡水鱼,寄生虫感染的风险很高 / 图虫创意
对于不那么懂行的普通消费者来说,买贵的确实比便宜的风险低。但怕就怕,你用大西洋鲑的价格买到了虹鳟鱼。
2018年,澎湃一则调查新闻深挖了国内的“三文鱼”市场。中国每年消费的9000余吨“三文鱼”,并非来自遥远的深海,而是黄河的一个水库。中国每年4万吨产量的虹鳟鱼,达到合格生食标准的虹鳟鱼不足三分之一[19]。
退一万步讲,你吃的海鲜里没有寄生虫,但生食还有太多不可控的风险。
在处理、加工或准备过程中可能会受到污染。它是否在适当的温度下储存和运输?有没有与受污染的其他海鲜或海水接触造成的交叉污染?它是否携带甲型肝炎病毒、沙门氏菌、创伤弧菌[10]?
事实上,日本每年食物中毒的事件中,细菌和病毒感染远比寄生虫感染更严重、更常见[13]。
而远离上述所有危险、实现100%安全的方法,其实很简单,加热。
![]()
铁锅炖胖头鱼不香吗 / 图虫创意
撒点胡椒海盐,或是滴几滴豉油,不管是煎炸、还是蒸煮,它不香吗?哪怕在潮汕,你也能选择咸梅蒸鱼这样“安全”的特色美味。
当然,如果你实在抗拒不了各种生食水产的美味,即使有风险也愿意豁出去尝试,那么吃之前牢记这几点:
不要食用内脏、不要吃淡水生鱼片以及螺类(即使是冷冻也不可以,很可能含有肝吸虫)、不要食用新鲜宰杀、未经冷冻的生鱼片。
吃刺身时把眼睛瞪大喽,检查一下有没有肉眼可见的寄生虫;如果有,立即放下别再食用。即使去除了成虫,也可能还含有幼虫、囊蚴。
到资质齐全、环境好、值得信赖的餐饮店吃生鱼片,非常重要!对那些售价极低、卖相不佳、有异味的生鱼片留个心眼,别轻易尝试。
如果你是网上选购生鱼片,尽可能选择顺丰空运,防止变质。拿到货后不要立即食用,先按照FDA的冷冻要求进行冷冻。
如果你是个生鱼片的重度爱好者,每月吃生鱼片频次很高,那么记得要定期到医院排查有没有寄生虫感染。
最后,如果你是易感人群(老人、幼儿、孕妇以及免疫系统较弱的人),强烈建议不要冒险尝试了。
【本文科学性已由 国家食品质量监督检验中心(上海)检验工程师 赵琨 审核。】







快报
根据《网络安全法》实名制要求,请绑定手机号后发表评论
正规渠道购买的、经检测的海鲜,大部分是安全的
鱼种、产地、养殖方式靠谱,吃到寄生虫的概率会低很多